7日前くらいに食べたとの事
昨日、口から一部その毛糸が出ていたのでひぱっても取れず
恐ろしい主訴です
18時から緊急内視鏡検査開始

This photo is taken by AllWinner’s v3-sdv
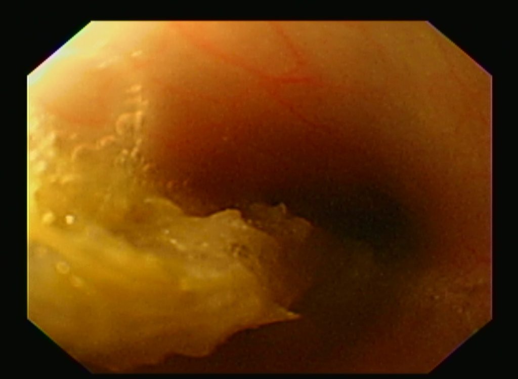
幽門洞(胃の出口前)に毛糸の塊発見

This photo is taken by AllWinner’s v3-sdv
うまく掴んで口まで持ってく、・・・
口まで出てきたが、引っこ抜けない💦
即座に内視鏡はあきらめて、明日手術に
30cmくらいの毛糸と言われていましたが、もう少し長いかも

したっけ
オークyoutube
a cat ate yarn.
and about 30 cm
Could not be removed by endoscopy.