これまた他の病院からお越しです
ありがたいけど恐ろしいような・・・
今回はお腹が1か月前から膨れてきたチワワの4歳、♀
触診にて、恐ろしいほどの腹部膨満
避妊していない♀でお腹が腫れている
暫定診断:子宮水腫 or 子宮蓄膿症
レントゲン検査の結果、破裂しそうなほど大きな脂肪or子宮
CT検査ののち、手術開始
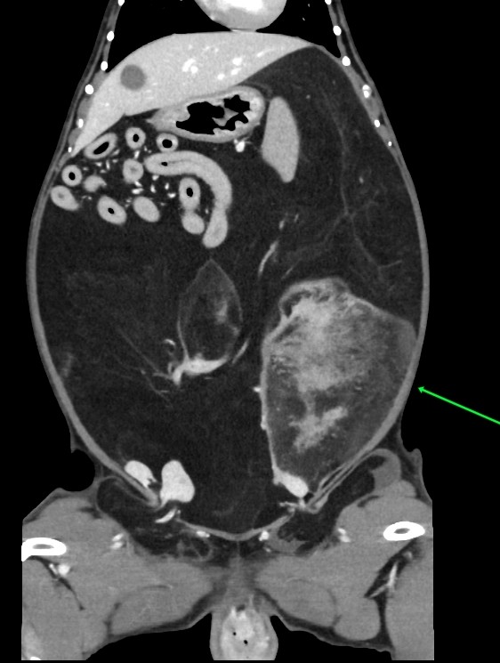
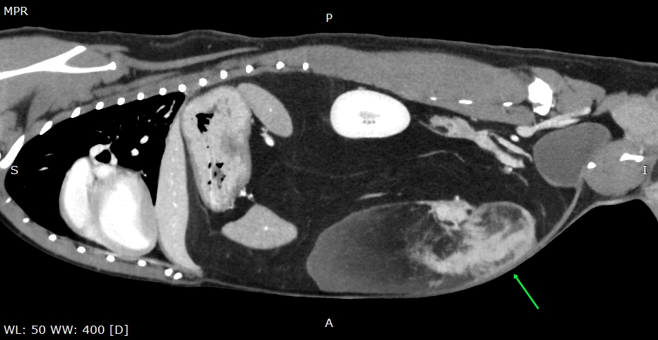
CTでは、大きな脂肪の塊らしきものが複数
特に矢印の白いのが固い脂肪の疑い
その周囲の黒いのが軟らかい脂肪
お腹の中は3/4が脂肪に置き換わっていそうです
さぁ、手術開始

したっけ
オークyoutube
Chihuahua’s belly was maybe lumps of fat by CT scan
immediately surgery
maybe uterine disease