高齢のため、健康診断でお越しです
数か月ごとに検査実施がすばらしい
血液検査:肝臓、胆嚢、脾臓、膵臓、腎臓、副腎、高脂血症、筋肉、甲状腺、電解質、血糖 = OK
尿検査:尿蛋白、Ph、潜血、ケトン、ビリルビン、尿比重 = OK
レントゲン検査:心臓、肝臓、胆嚢、脾臓、腎臓、胃、小腸、大腸 = OK
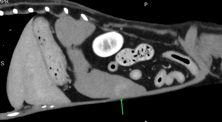
腹部超音波検査:肝臓、胆嚢、膵臓、腎臓、副腎、胃、小腸、大腸 = OK、しかし脾臓にφ1cmシコリ
念のため、CT検査をお勧めしました
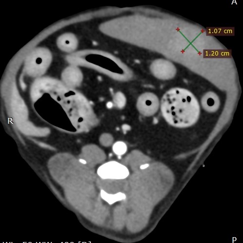
数日後CT検査にて、
やはり、ある
CT検査診断:脾臓に結節、胆泥症
この脾臓の結節、不気味です
手術をお勧めしました
CT検査のち、2時間後に手術 = 脾臓摘出術
オーナーの決断の速さがとてもすばらしいです
それに応えなければいけませんっ
プレッシャーです
ここで重要な大切なこと
血液検査が万全ではありません
レントゲン検査もしかり
超音波検査で初めて発見しました
毎回実施している検査で初めて引っ掛かりました
健康診断は血液検査とレントゲン検査が基本のスクリーニング検査です
次回はそのスクリーニング検査のお話を・・・

したっけ
オークyoutube