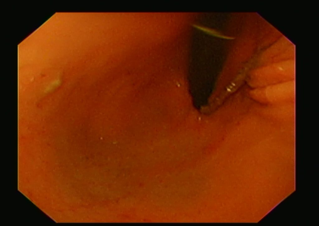
内視鏡検査では治癒ならず
毛糸は口元で切って、

This photo is taken by AllWinner’s v3-sdv
噴門(胃の入り口)の毛糸
胃の中へ
翌日の手術です
開腹すると・・・・・、
アコーディオン状の腸になっています
確認すると、胃~盲腸まで一本の毛糸が続いていました
その毛糸が千切れないので、腸が絡まります
毛糸の方が強いので、腸管は糸によって傷つき破けます
小腸の空腸を切開して糸を取り出し、その糸を切る
小腸の回腸を切開して糸を取り出し、その糸を切る
その繰り返し
(近日youtube公開)
次第にほつれが取れてきましたが、
まだまだ先は長い・・・・・

したっけ
オークyoutube
Yarn was tangled in its intestines.
and from the stomach to the cecum
so scary