急に食べず、飲まず、動かずの11歳のチワワ君♂
眼や口を診ると白色
暫定診断:貧血による虚脱
血液のFull検査とレントゲン検査、超音波検査にて
暫定診断2:腹腔内腫瘍
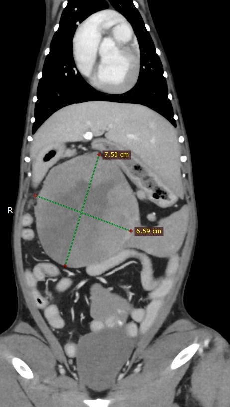
手術の可否を見極めるため、全身麻酔下のCT検査開始(もちろん、オーナー了解済み)
矢印左から脾臓腫瘤、不明な腫瘤、膀胱、前立腺、睾丸
チワワの体にしては大きすぎる腫瘍が2つ
左右の睾丸に腫瘍が数個
診断:4種類の腫瘍の疑い
大変な事態になっていました

したっけ
オークyoutube
Sudden collapse chihuahua was coming.
it was heavy anemia and intra-abdominal mass.
it is so hard.