最後に、睾丸摘出
左右の大きさが違います
割を入れますと、
左右に複数の腫瘍(2種類?)あり
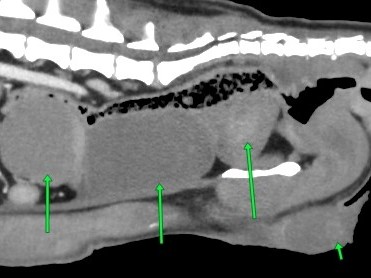
CT検査でわずかに見えていましたよね
ココにうっすら、
診えますか?
アップにしますと、診えてきましたね
一番右矢印が睾丸です
これら3臓器、5腫瘍の病理組織検査から今後の予後が決まります
一時はどうなるか、と心配でしたが
入院5日で食欲排便バッチリでお帰りになりました
一安心

したっけ
オークyoutube
current case was 3 rgan and5 tumors.
so heavy but he endured.
how vivid he is !!