小指の手術前 / before Little finger surgery

あの指はオーナーの決断によって手術となりました

 

 

 

 

腫瘍を疑い手術ですので、術前にCT検査です

 

 

①脾臓の腫大

 

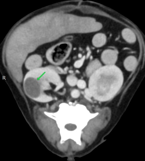
②左右に大きな腎臓に嚢胞

 

 

③胆石あり

 

 

 

高齢です

色々見つかりました

 

①は転移の可能性もあるので手術時に脾臓の細胞検査

②腎不全になりやすいので点滴をしっかり

③今後の要注意

 

 

 

 

やはり高齢は一筋縄ではいきません

 

 

 

 

 

 

 

したっけ

 

 

 

 

 

 

 

 

 

 

 

オークyoutube

CT scan before that finger tumor surgery

various diseases・・・

this is old age dog……